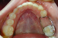
When a primary tooth is lost prematurely the teeth can drift into the new space crowding out the permanent tooth that is supposed to erupt into that space in the future. A space maintainer keeps baby teeth from shifting into the space where the tooth was lost so the permanent tooth can erupt in its natural proper space. As the permanent tooth erupts, Dr. Debian or one of his Associates will remove the appliance. Space maintainers can help eliminate the need for extensive orthodontics in the future.
![]() |
![]() |
|
band loop space maintainer
|
erupting tooth
|









